お知らせ
News
お知らせ
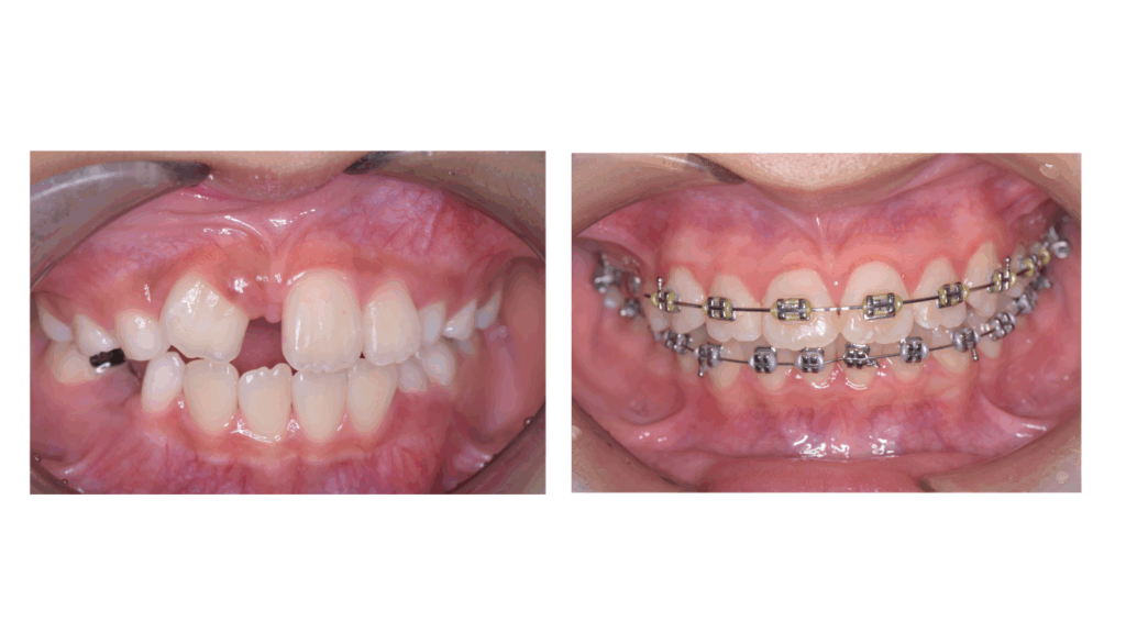
小児矯正でここまで変わります 〜1年半の変化〜

当院では、小児期からの矯正治療にも力を入れています。
今回ご紹介するお子さまは、前歯のガタつきや噛み合わせの不安定さがあり、上の顎の糸切り歯が生えてくるスペースがありませんでした。将来的な歯並びへの影響が心配されていました。
矯正開始から約1年半——
写真のように前歯がきれいに整い、噛み合わせも安定してきました。成長期はあごの発育を利用できるため、無理なくスムーズに歯を正しい位置へ誘導することができます。
小児矯正は、
・将来の抜歯リスクを減らせる
・永久歯が並ぶスペースを確保しやすい
・顔立ちや口元の成長にも好影響がある
など、多くのメリットがあります。
お子さまの歯並びで気になる点がありましたら、いつでもご相談ください。
成長に合わせた最適なタイミングをご提案いたします。